FŐOLDAL | SZOLGÁLTATÁSOK | TOPCON FUNDUS KAMERA

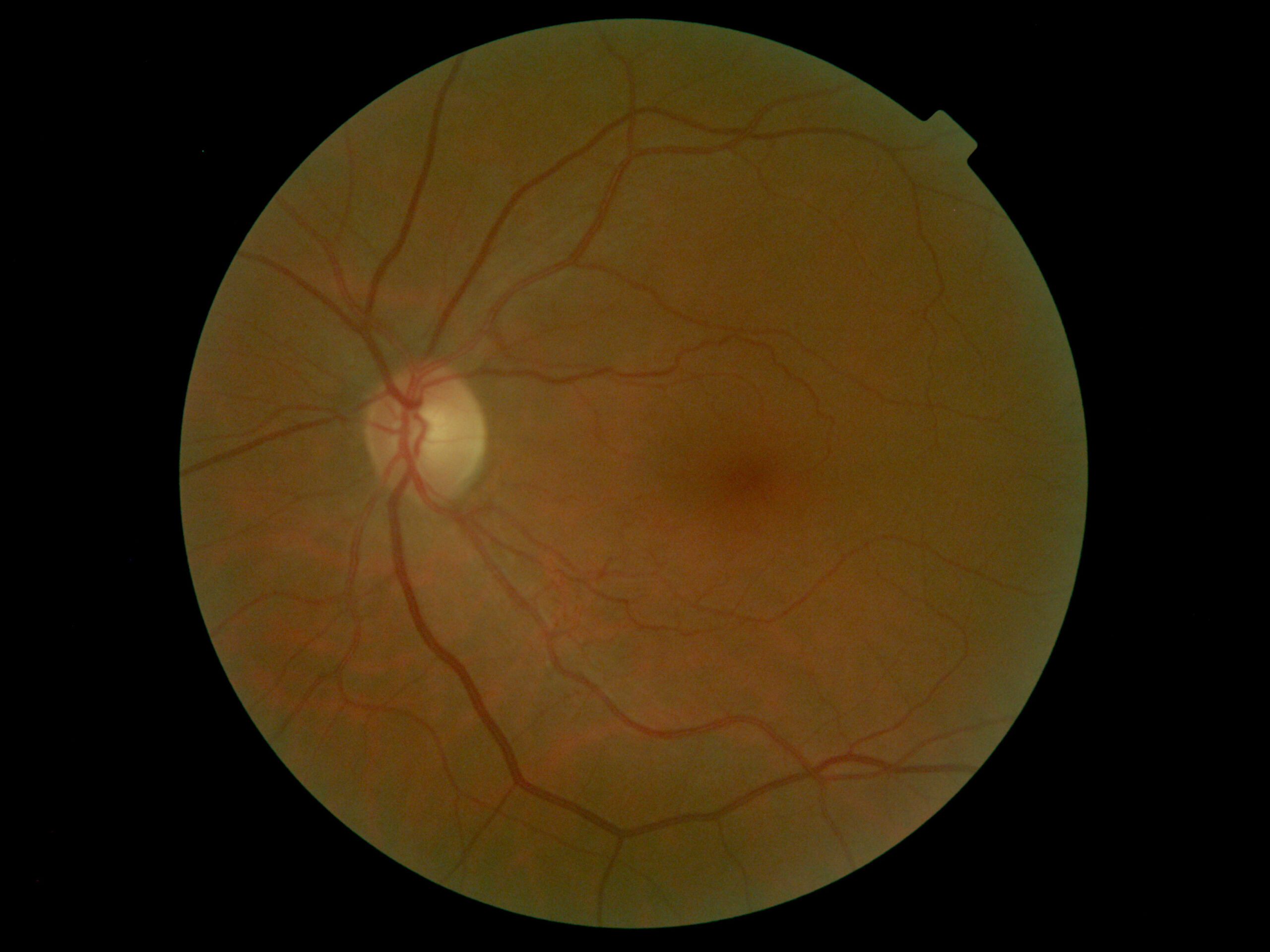
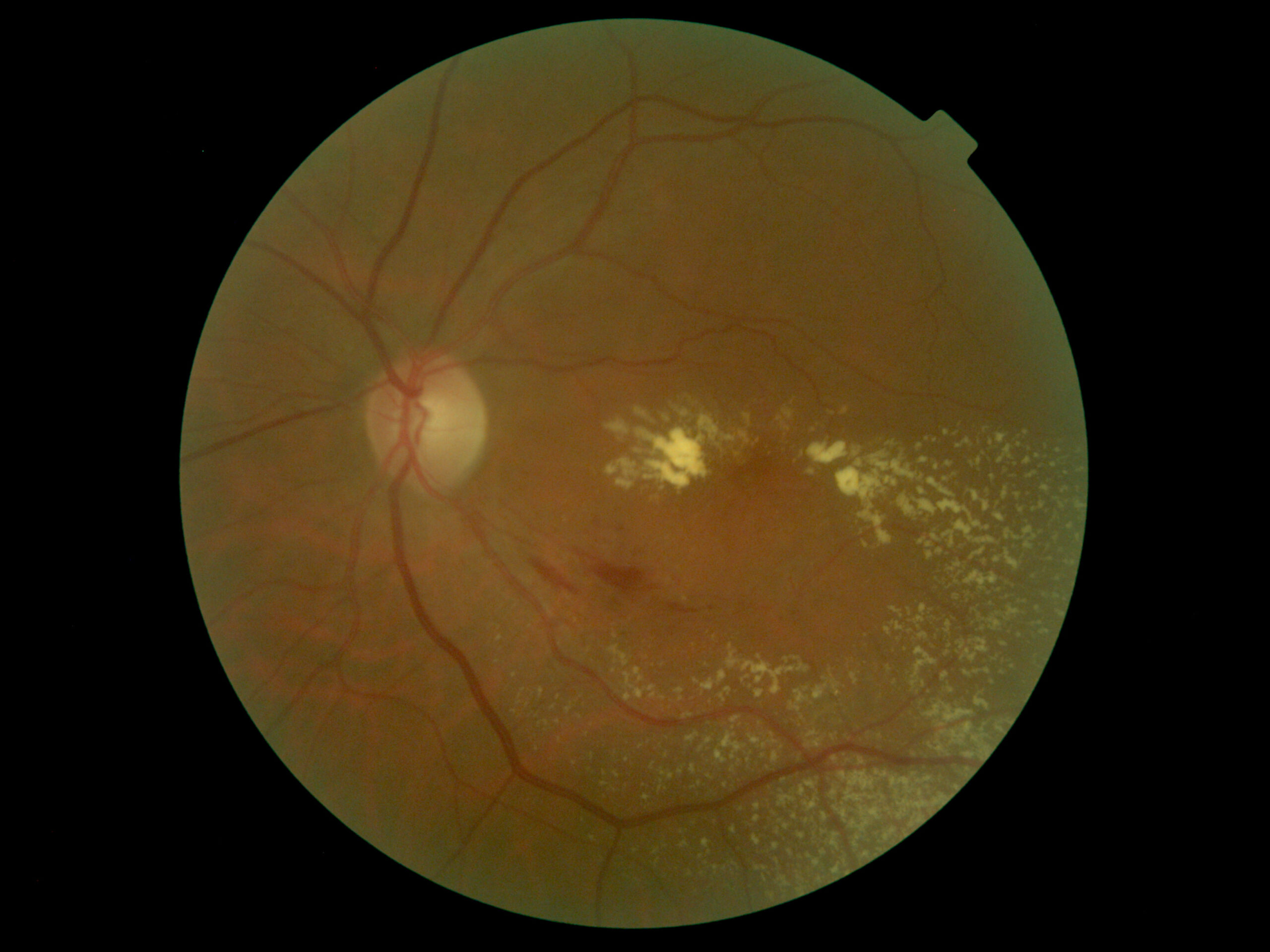
A Topcon TRC-NW300 olyan fundus kamera, amely használata nem igényel pupilla tágítást.
A készüléket szemfenék vizsgálatokra tervezték. A Topcon TRC NW300-ba egy 8 megapixeles kamera van beépítve.

A szem belsejéről készíthetünk vele fényképet, amit a vizsgálat során meg is tudunk mutatni. A fényképen látható:

– a retina érrendszere
– az éleslátás helye (macula)
– ahol az erek és idegek kilépnek a szemből (papilla)
– perifériás részek

Nagy előnye a gépnek, hogy az elkészült képeket elmentjük. Az aktuális vizsgálat során készített fényképeket össze lehet hasonlítani a korábban készült képekkel, így egyértelműen lehet látni, ha változás van.